El personal de Clínica Cervera li dóna la benvinguda al nostre centre, dedicat des de 1994, a dos de les més importants especialitats odontològiques: la Periodòncia i la Rehabilitació oral amb implants dentals. L’any 2006 ens vàrem traslladar a les instal·lacions actuals on es va dur a terme la darrera reforma al 2012 per poder ampliar els serveis i tractaments que oferim actualment:
- Tractament de les càries (odontologia conservadora).
- Pròtesi dental.
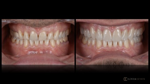
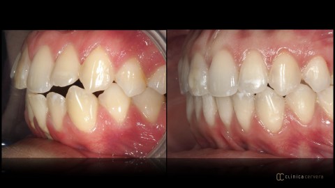
- Estètica dental i gingival.
- Emblanquiment dental.
La dedicació i atenció especialitzada permet aplicar les tècniques més avançades per assolir els principals objectius en tot tractament bucodental: salut i bona funcionalitat masticatòria. Sense oblidar la millor exigència estètica en els nostres resultats i amb un compromís centrat en la qualitat del nostre servei als pacients.
-
Veure totes
-
Clínica Cervera referma el seu compromís amb Temporada Alta en una nit inoblidable de teatre i participació
Llegir més
-
El que menges també influeix en la teva salut bucal: descobreix quins aliments cuiden el teu somriure des de dins
Llegir més